Welcome to the Smile Gallery of Sweet Tooth Family Dentistry, your trusted family and cosmetic dentist in Aston, PA. Our skilled team combines advanced technology with personalized treatment plans to create natural, beautiful, and long-lasting results for patients of all ages. Whether you’re looking to enhance your smile, restore dental function, or explore cosmetic dentistry options, our before-and-after transformations showcase the quality of care you can expect. Browse our real patient results and discover why families in Aston, PA choose us for comfortable, modern, and reliable dental care.

New smile with Complete dentures

Before After

Smile improvement with crowns and Veneers

Before After

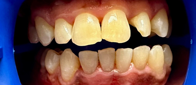
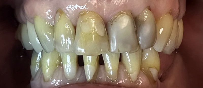
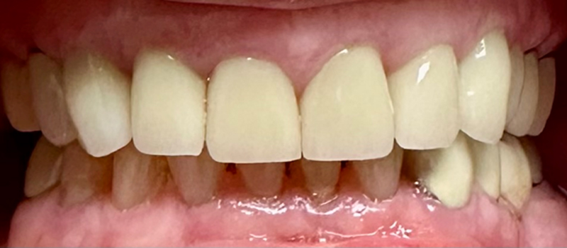
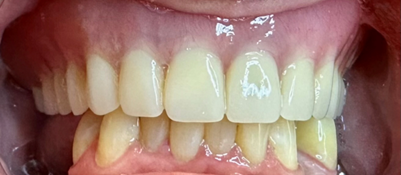
Improvement on discolored teeth with crowns and improvement

Before After

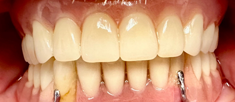
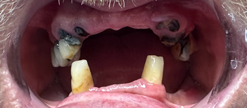
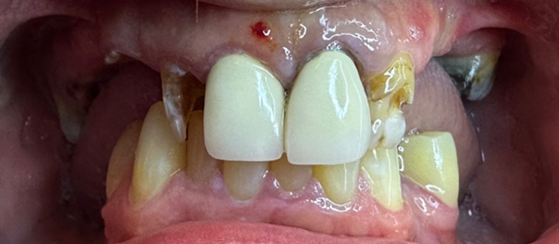
Replacement of missing teeth with implant restorations and improvement of existing broken teeth with crowns

Before After

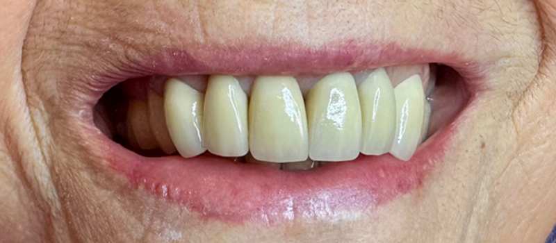
Protection of damaged teeth by crowns and improvement in appearance to bring back confidence

Before After

Full mouth reconstruction with crowns and bridges

Before After

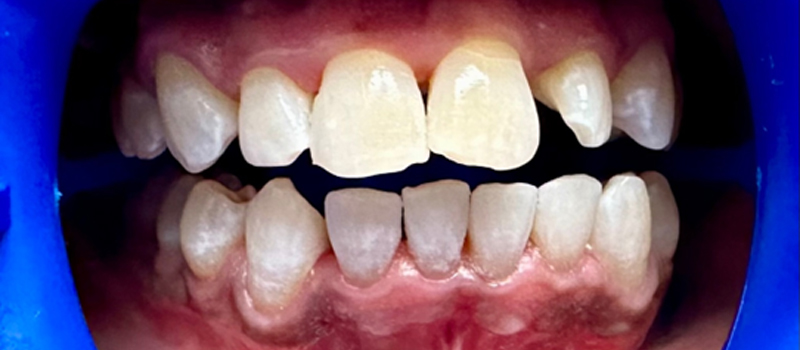
Invisalign

Before After

Invisalign

Before After

Invisalign

Before After

Zoom in office Whitening

Before After

Zoom in office whitening

Before After

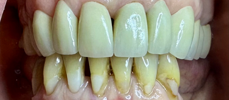
Crowns and Veneers

Before After

Crowns and Veneers

Before After

Crowns and Veneers

Before After

Crowns and Veneers

Before After

crowns and dentures – partial for this patient

Before After

Full mouth reconstruction with Dentures – complete and partial

Before After

Full mouth reconstruction with Dentures – complete and partial

Before After

Full mouth reconstruction with crowns and dentures

Before After

Dental Cleanings

Before After
Click to listen highlighted text!